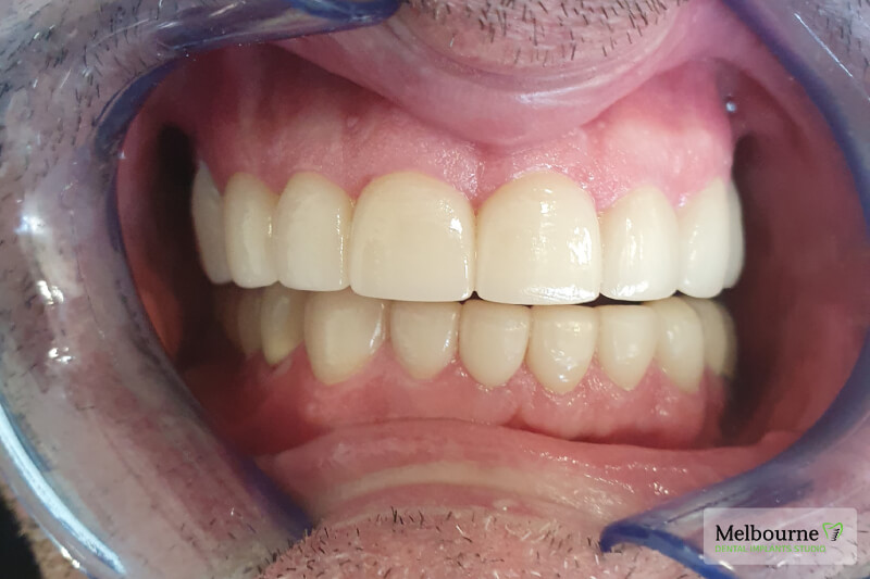
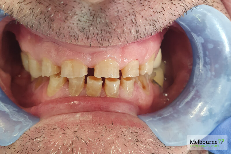
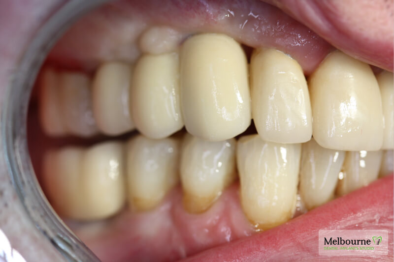
See real patient transformations showcasing restored smiles, improved confidence, and natural results achieved through precise, personalised implant treatment
Explore real before-and-after results that highlight the difference precise implant care can make. Each transformation reflects careful planning, skilled treatment, and personalised attention, helping patients regain comfort, confidence, and a natural smile. See how restored teeth can positively influence everyday life and overall wellbeing.
















































Explore the genuine results achieved at Melbourne Dental Implants Studio through careful planning and skilled implant treatment. Our before-and-after gallery highlights how restored teeth can improve comfort, function, and appearance. Each transformation reflects personalised care and precise technique, helping patients feel more confident in their daily lives. See how a complete, natural-looking smile can make a meaningful difference.








At Melbourne Dental Implants Studio, our experienced team, led by Dr Adam Mattsson, is dedicated to providing gentle, precise, and personalised implant care. We combine advanced training with a compassionate approach to ensure every patient feels confident, comfortable, and cared for throughout their treatment journey.
Posted on Age Of ChivalryTrustindex verifies that the original source of the review is Google. Dr Adam was very thorough and professional, his customer service was outstanding and I'm happy I chose themPosted on Liam ClarkinTrustindex verifies that the original source of the review is Google. I've been going to Dr. Adam for about six months now and honestly, it's been a game changer. I used to have pretty bad dental anxiety, but his communication and bedside manner have made such a difference. He takes the time to explain what he's doing and actually listens to your concerns, which sounds basic but you'd be surprised how rare that is. Super professional but not in a stiff way - just genuinely cares about doing good work and making sure you're comfortable. I actually don't dread my dental appointments anymore, which is saying a lot. Highly recommend if you're looking for a dentist who gets it.Posted on Ivy XuTrustindex verifies that the original source of the review is Google. Great, professional service from Adam as always! I have been under his care for years and really appreciate his thorough check and cleaning service. The clinic is very clean and modern. My teeth feel fantastic!Posted on Mary GeorgeTrustindex verifies that the original source of the review is Google. The team is always very efficient and professional and warm and friendly at the same time.Posted on linda glowackiTrustindex verifies that the original source of the review is Google. I can’t recommend Brentford cosmetic dental highly enough. For someone who doesn’t enjoy visiting the dentist, they really make the experience comfortable. All the staff are friendly and professional. They also specialise in working with children, easing their anxiety and fear. If you have been holding off getting your check up and clean, don’t, make an appointment you won’t regret it.Posted on Dora IliadisTrustindex verifies that the original source of the review is Google. Adam and his team dispel the myth about going to the dentist. His calming and authentic nature puts you at ease on anything you are having done. I have been seeing Adam for many years and have a lot of work done and friends and family are also now going to Brentford dental.Posted on Gary GuoTrustindex verifies that the original source of the review is Google. Been coming here for years very skilled and pain freePosted on Elizabeth NaumczykTrustindex verifies that the original source of the review is Google. Nice friendly staff, very profesional, my dentist Adam is amazing makes me feel so comfortable would highly recommend!Posted on Sean TurnerTrustindex verifies that the original source of the review is Google. So glad to have gone to Brentford Dental to get all my teeth fixed, they have done an absolutely incredible job with all of my teeth and have been super comforting every step of the way. My teeth look amazing.
Schedule your dental implant consultation with Melbourne Dental Implants Studio today and take the first step toward restoring your confident, healthy smile.
Access top-quality dental care with flexible payment options and health fund support.
Restore your smile with confidence at Melbourne Dental Implants Studio— comfortable, and long-lasting dental implant solutions in Forest Hill.
©: All rights reserved. Melbourne Dental Implants Studio
SEO & Website by World Global Solutions
This is our NEW website’s launch promotion, valid for 3 months only — from
17/11/2025 until the end of February 2026.
(bone/gum graft not required cases)
For only: $2999
As dental implant normally (including the crown) will cost around $4500, our promotion will be just $2999 only.
*If required, bone grafting will be an added cost depending on the graft quality and volume.*
T&C’s Apply
The promotion can’t refuse from SANTA